近日,我中心张现忠教授课题组在国际知名期刊Advanced Materials杂志(影响因子为17.493)发表题为《Superfluorinated PEI derivative coupled with 99mTc for ASGPR targeted 19F MRI/SPECT/PA tri-modality imaging》的研究论文。

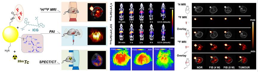
本研究以树状聚乙烯亚胺为骨架,在其表面胺基上修饰19F官能团及ASGP受体靶向基团。该多功能大分子可利用其表面大量的19F基团实现19F MRI成像;同时,基于树状聚乙烯亚胺的独特的属性,如具有结构空腔、易结合金属离子、带有正电荷等特性,可进行放射性核素99mTc的标记及ICG染料的载带,从而实现SPECT及光声成像。在体内外测试中我们发现该探针具有合成简单、水溶性好、体内清除快、毒性小等优点,克服了常见的19F MRI及光声探针在这些方面的不足。此外,其具备良好的靶向性,可成为性质优良的去唾液酸糖蛋白受体(ASGPR)显像剂,用于肝脏疾病的检测(如肝纤维化、肝癌等)和肝功能的鉴定,为个性化治疗及精准医疗的发展提供了有力支持。
本项研究得益于省部共建分子疫苗学和分子诊断学国家重点实验室搭建的优质平台,以及厦门大学分子影像暨转化医学研究中心(厦门市分子影像工程技术研究中心)优良的科研环境。该论文第一作者郭志德为在我中心交流的博士生,通讯作者是张现忠教授。该项研究工作得到了科技部973课题、国家自然科学基金以及厦门大学校长基金等项目的支持。
全文连接:http://dx.doi.org/10.1002/adma.201601064